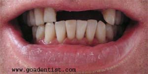
BEFORE    

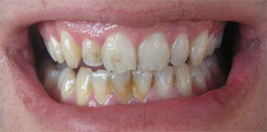
AFTER

BEFORE   

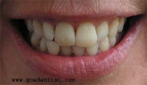
AFTER

BEFORE

AFTER

Calangute

Dr. Pimenta's Dental Practice
D-8, Romano Chambers ,
Opposite Cafe Coffee Day,
Calangute Market Road
Porbavaddo Calangute 
Goa - India


Margao

Dr. Pimenta's Dental                    
110 Lake Plaza,
Opp Nehru Stadium,
Above Borkars Super Stores Fatorda Margao
Goa - India

Phones & Email

+ 91 - 9822131325
+ 91 - 8263978870
Email:
ambertp@gmail.com