Dental Bridges & Crowns

Crown refers to the restoration of teeth using materials that are fabricated by indirect methods which are cemented into place. A crown is used to cap or completely cover a tooth.

Traditionally, the teeth to be crowned are prepared by a dentist and records are given to a dental technician to fabricate the crown or bridge, which can then be inserted at another dental appointment. The main advantages of the indirect method of tooth restoration include:

* fabrication of the restoration without the need for having the patient in the chair

* the utilization of materials that require special fabrication methods, such as casting

* the use of materials that require intense heat to be processed into a restoration, such as gold and porcelain.

The restorative materials used in indirect restorations possess superior mechanical properties than do the materials used for direct methods of tooth restoration, and thus produce a restoration of much higher quality.

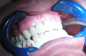
Damaged Upper front teeth

Crowns on upper incisors 

Upper Missing teeth

Upper Bridge to replace missing teeth

Discolored & Damaged Teeth

Individual crowns 

Bad bite and teeth out of alignment

Complete bite correction and smile design 

A dental bridge, otherwise known as a fixed partial denture, is a prosthesis used to replace missing teeth and is not removable by the patient. A prosthesis that is removable by the patient is called a removable partial denture.A dental bridge is fabricated by reducing the teeth on either side of the missing tooth or teeth by a preparation pattern determined by the location of the teeth and by the material from which the bridge is fabricated. In other words the abutment teeth are reduced in size to accommodate the material to be used to restore the size and shape of the original teeth in a correct alignment and contact with the opposing teeth. The dimensions of the bridge are defined by Ante's Law: "The root surface area of the abutment teeth has to equal or surpass that of the teeth being replaced with pontics".
The materials used for the bridge include gold, porcelain fused to metal, or in the correct situation porcelain alone. The amount and type of reduction done to the abutment teeth varies slightly with the different materials used. The recipient of such a bridge must be careful to clean well under this prosthesis. When restoring an edentulous space with a fixed partial denture that will crown the teeth adjacent to the space and bridge the gap with a pontic, or "dummy tooth", the restoration is referred to as a bridge. Besides all of the preceding information that concerns single-unit crowns, bridges possess a few additional considerations when it comes to case selection and treatment planning, tooth preparation and restoration fabrication.
Calangute

Dr. Pimenta's Dental Practice
D-8, Romano Chambers ,
Opposite Cafe Coffee Day,
Calangute Market Road
Porbavaddo Calangute 
Goa - India


Margao

Dr. Pimenta's Dental                    
110 Lake Plaza,
Opp Nehru Stadium,
Above Borkars Super Stores Fatorda Margao
Goa - India

Phones & Email

+ 91 - 9822131325
+ 91 - 8263978870
Email:
ambertp@gmail.com