Everyday Dentistry

All our standard procedures that do not require a lot of advanced booking.

Root Canals using Apex Locator

Performed by an Endodontist. This procedure will gurantee success of the treatment using an Apex Locator. Procedure can last upto 2 hours and includes the final filling.

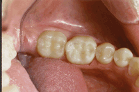
Dental Fillings    

We do Composite fillings and Glass Ionomer Fillings. These are tooth colored restorations and are extremely strong to take on masticatory forces. Procedure can take about an hour per tooth.

Scaling & Root Planning

General cases of scaling are handled using Ultrasonic Scalers. For cases where root planning is need , our Periodontist takes over. General Procedure last about 30 - 45 minutes

Calangute

Dr. Pimenta's Dental Practice
D-8, Romano Chambers ,
Opposite Cafe Coffee Day,
Calangute Market Road
Porbavaddo Calangute 
Goa - India


Margao

Dr. Pimenta's Dental                    
110 Lake Plaza,
Opp Nehru Stadium,
Above Borkars Super Stores Fatorda Margao
Goa - India

Phones & Email

+ 91 - 9822131325
+ 91 - 8263978870
Email:
ambertp@gmail.com